Go to top

Frisardi
Masticationpedia Network

(Nettuno)



Scopri le Innovazioni nel Trattamento della Malocclusione


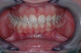
Occlusal Centric view in open and cross bite patient.jpg

Esplorando la Malocclusione: Un Approccio Rivoluzionario alla Salute Orale e Generale

Introduzione

In un'epoca di rapidi progressi scientifici e tecnologici, il campo dell'odontoiatria sta vivendo una rivoluzione paradigmatica che promette di trasformare radicalmente la comprensione e il trattamento della malocclusione. Grazie agli sforzi pionieristici di esperti come il Dr. Gianni Frisardi e alle risorse educative come Masticationpedia, stiamo assistendo a un profondo cambiamento nel modo in cui i disturbi masticatori sono diagnosticati e gestiti.

Il Problema della Malocclusione

La malocclusione, comunemente definita come un allineamento scorretto dei denti, può avere effetti debilitanti sulla qualità della vita di un individuo, influenzando la masticazione, la parola e persino la respirazione. Tradizionalmente trattata con tecniche ortodontiche che si concentrano principalmente sull'allineamento dei denti, la ricerca recente ha rivelato che le cause e gli effetti della malocclusione sono molto più complessi.

Un Paradigma Elettrofisiologico Trigeminale

Sotto la guida del Dr. Gianni Frisardi, la ricerca ha adottato un nuovo paradigma, il paradigma elettrofisiologico trigeminale, che esplora l'impatto della malocclusione sui sistemi neurologici. Utilizzando tecniche avanzate come l'elettroneurografia, i potenziali evocati ed i riflessi trigeminali, i ricercatori sono ora in grado di osservare come le anomalie masticatorie influenzino il Sistema Nervoso trigeminale, un elemento cruciale nel sistema nervoso facciale.

Implicazioni Cliniche e Trattamenti Innovativi

L'adozione di questo paradigma ha illuminato il legame tra malocclusione e vari disturbi neurologici, aprendo la strada a trattamenti che vanno oltre le convenzionali apparecchiature ortodontiche. Questi nuovi approcci terapeutici mirano non solo a correggere l'allineamento fisico dei denti, ma anche a ripristinare la funzionalità neurologica e migliorare la salute generale del paziente.

Interdisciplinarità nella Ricerca e nella Pratica Dentale

L'importanza di un approccio interdisciplinare nel trattamento della malocclusione è uno dei temi centrali promossi da Masticationpedia. Collaborando con neurologi, ortodontisti e altri specialisti, i dentisti sono meglio equipaggiati per offrire una cura che considera il paziente nella sua interezza. Questo tipo di collaborazione è fondamentale per sviluppare strategie di trattamento olistiche e personalizzate.

Casi Clinici e Studi di Caso

Per illustrare l'efficacia di questi nuovi paradigmi, Masticationpedia presenta diversi studi di caso che documentano miglioramenti significativi nel benessere dei pazienti a seguito di trattamenti basati su questo nuovo approccio. Questi casi forniscono evidenze concrete dei benefici di una strategia integrata nella gestione della malocclusione.

Riflessioni Future

Guardando al futuro, il campo dell'odontoiatria sta impostando una serie di studi per esplorare ulteriormente il legame tra la salute orale e sistemi corporei più ampi. Con il continuo supporto di piattaforme educative come Masticationpedia e il lavoro pionieristico di esperti come il Dr. Gianni Frisardi, siamo all'alba di una nuova era nella cura dentale.

Invito all'Azione

Invitiamo tutti i professionisti del settore dentale e i pazienti interessati a visitare Masticationpedia per approfondire questi argomenti rivoluzionari e a discutere queste nuove possibilità con i loro dentisti. Insieme, possiamo trasformare la visione della salute dentale e generale aprendo una discussione sul canale social di Facebook su una provocazione intellettuale e scientifica a cui vorremmo che il pubblico suggerisca la sua opinione.

Occlusion in young lady, needing attention.jpg

Provocazione intellettuale

Question 2.jpg

In figua 1potete osservare un soggetto in uno stato di malocclusione che nel gergo ortodontico risponde ad una crossbite con morso apertoanteriormente, Il collega dentista, ovviamente ed a ragion veduta secondo i canoni che gli sono stati trasferiti nel corso dei piani di studi universitari, considererebbe già a priori che si tratta di una malocclusione da trattare con ortodonzia nonchè con interventi di ortognatica. Nella figura 2, invece, è riportata una situazione meno grave ma con una malocclusione di crossbite laterale destro. Si tratta di padre ( figura1) e figlia (figura 2). Anche in questo caso il collega dentista consiglierebbe un trattamento orotodontico.

«Secondo Voi quali dei due soggetti dovrebbe essere trattato orotodonticamente?»

Iscriviti alla Nostra Newsletter

Rimani sempre aggiornato con le ultime notizie, scoperte e consigli direttamente nella tua casella di posta. Iscriviti alla nostra newsletter per ricevere aggiornamenti regolari e non perdere mai un aggiornamento su come migliorare la tua salute orale e gestire il bruxismo efficacemente.Per iscriverti basta essere membro Facebook ed richiedere l'account con le stesse credenziali Facebook cliccano il tasto sottostante.In questo modo saremo connessi sia su Facebook che su Masticationpedia per creare un blog scrivendo sulla pagina 'Discussion' di Masticationpedia oppure riportare dei commenti su Facebook.